Узнай о лечении желчекаменной болезни из опыта пациентов, которые выздоровели можно узнать здесь:
В интернете можно прочитать много историй чудесного выздоровления, в которые иногда верится с трудом. Обязательно находится какой-то рецепт или средство, которое ВДРУГ помогает даже в тех случаях, где врачи бессильны перед болезнью, и предлагают пациенту только одни выход – оперативное лечение.
Но я даже не предполагала, что такая же ситуация коснется моей семьи, и сегодня я хочу вам рассказать не менее волшебную историю выздоровления моего мужа.
Как у моего мужа обнаружили желчнокаменную болезнь
Моего мужа зовут Вячеслав. Живем мы в селе, ведем подсобное хозяйство. Все началось как всегда неожиданно. Славика скрутило от тошнотворной боли в правом подреберье, и нам пришлось вызвать скорую. Врач поставил заподозрил холецистит, поставил спазмолитик и посоветовал срочно обратиться к гастроэнтерологу.

На следующий день мы были уже в больнице. Я поехала с мужем, потому что лечиться он не любит и половину из того, что сказал бы ему врач, точно бы пропустил мимо ушей, поэтому мое участие в процессе было просто необходимо.
И тут выяснилось, что Славик уже давно отмечал у себя различные непривычные для себя состояния: периодическую тошноту, изжогу, понос и незначительные боли в животе. Но он, как истинный мужчина, не захотел делиться со мной своим состоянием, да и, с его слов, все это были мелочи, которые могут случиться у каждого. И только здесь я поняла, что в хлопотах по хозяйству не придала значения его плохому аппетиту, связав это с летней жарой. А оказалось все гораздо серьезнее.
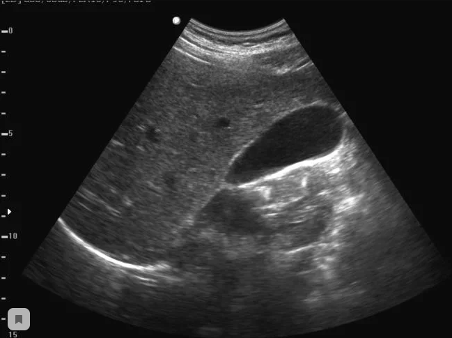
Врач назначил мужу УЗИ, которое показало, что у него в желчном пузыре много билирубиновых камней. Как объяснил врач, такие камни не рассасываются от простых лекарств, и нужно в любом случае оперироваться и удалять желчный.
Но муж заявил твердо: резать себя не дам! И как я его ни уговаривала, какие только ни приводила аргументы, все было бесполезно. Единственное, на что он согласился, – соблюдать диету. Но я же знала, что никакой диеты не будет…
Это теперь я понимаю, что выход был, что операцию делать было не обязательно, а тогда я паниковала и очень боялась его потерять.

Сразу после больницы муж повел меня в аптеку, купил себе тонну обезболивающих и, как обычно, все проблемы переложил на свое знаменитое «авось само рассосется».
А вот меня мысль о болезни мужа не покидала. Во-первых, люблю, во-вторых, а если чего вдруг, кто мне по хозяйству будет помогать? И вроде бы он чувствовал себя более-менее, но…
Жизнь нам всегда подсовывает свои решения, но мы не всегда их принимаем. Так было и в этом случае. Моя соседка по даче сказала, что ее родственник принимал куриную желчь и избавился от камней. Я только отмахнулась… Еще бы посоветовала куриный помет принимать… Но вот у мужа случился новый приступ, опять скорая, опять отказ от больницы. И я решила: все, хватит, надо что-то делать. Рано или поздно, все закончится плачевно. И с некоторым сомнением решила последовать ее совету.

Но сначала зашла в интернет и посмотрела, что там пишут про куриную желчь. Оказалось, что это не очередное бабушкино средство, а рецепт Б.В. Болотова – известного народного академика, который разработал множество методик по очищению организма. Причем все эти методики подтверждены практикой. Его рецепты от различных заболеваний просты и легко применимы, ими пользуются очень многие и выздоравливают.
Не поверить я этому не могла и пристала к Славику с очередной своей, по его выражению, «бредовой идеей». Но в этот раз он, хоть и слушал меня вполуха, но все же в его глазах читалась некоторая надежда… Видать, болезнь его все же достала… И с его стороны это следовало понимать, как согласие на лечение.
Недолго думая, я купила на рынке свежую курицу. Если вы будете лечить желчнокаменную болезнь таким же образом, вы должны знать, что курица не должна быть жирной. Лучше брать домашнюю несушку, она более поджарая. У таких кур желчный пузырь больше по объему, поэтому и желчи у нее больше. Это сделает лечение более дешевым, ведь вам понадобится на 1 курс от 5 до 10 несушек. И лучше покупать каждый раз свежую курицу. Мы очень долго искали людей, которые смогли бы продать нам желчь, но это сложно потому что, с поставщиками связаться очень сложно. Было бы легче купить уже готовую желчь, готовую для употребления. Тогда и появилась идея открыть такой сайт, где каждый может зайти и заказать себе данный продукт. Но сейчас не об этом...
Наверное, у многих из вас возник вопрос – а почему, собственно, нужна именно куриная желчь? Оказывается, она «растворяет» камушки, которые домашняя птица на свободном выгуле заглатывает для того, чтобы лучше переваривать пищу.




Желчь принимают следующим образом. Ложками ее не пьют, она очень горькая. Вернее, желательно, чтобы со слизистой рта она вовсе не контактировала. Поэтому я скатывала из хлеба маленький шарик величиной примерно с лесной орех, делала углубление в середине, выдавливала туда 5 капель желчи и залепляла его. На один прием нужно 2 шарика, а в день 4. Можно и больше шариков делать, но в сутки нужно принимать не более 40 капель желчи через 30-40 минут после еды.Но можно через час или через два.
Да, вот еще что. Во время курса лечения желательно есть щелочные продукты. Почему? Да потому что они улучшают отток желчи. Я готовила Славику легкие овощные супчики, салаты делала овощные, варила каши, покупала кисломолочные продукты. Нужно было исключить из рациона еще и мясо с рыбой, но муж совсем не может жить без белковой пищи, поэтому раз в день, в основном утром, нежирное мясо я все же ему готовила.
Продолжительность лечения по болотовской методике – 2-4 недели. После 2 недель лечения муж почувствовал себя значительно лучше и вновь прошел УЗИ. Результаты нас очень обрадовали. Камни стали мельче и их стало меньше. Видимо, некоторые из них за это время вышли естественным путем. И в целом он стал чувствовать себя лучше. Пропала изжога и тошнота, боли практически исчезли. Что меня удивило, так это то, что Славик сам предложил продолжить лечение! Сам напоминал мне о том, что пора бы уже и дозу принять).
После месяца такого лечения и повторного УЗИ камней в желчном пузыре мужа уже не обнаружили. Он полностью излечился от желчнокаменной болезни. Но сказал мне, что периодически будет пить желчь для профилактики.

Хочу напомнить некоторые важные моменты (если вы решите лечиться таким способом).
1. Желательно покупать худосочную курицу.
2. Принимать желчь после еды.
3. Придерживаться диеты.
Если вы будете соблюдать эти рекомендации, то и вылечитесь быстрее. А если вы не хотите покупать каждый раз новую курицу, вы можете купить готовую желчь на сайте – в капсулах или в замороженном виде. Это удобнее, а результат от ее применения ничуть не хуже.
Желаю вам здоровья!
Оказалось, что я не могу пересылать желчь на большие расстояния ,так как нужно соблюдать меры осторожности, не допускать разморозки желчи. Сублимировать желчь можно,однако есть и более простой сертифицированный способ использовать куриную желчь.
Результат одинаковый и выбор всегда за вами. Закажите желчь через этот сайт с Украины!
Оказывается, этот препарат там производится под названием Горечь Лысенко
Он прошел все испытания , утвержден здравнадзором Украины, и в Незалежной Украине широко используется.
Внимание! Если вам не нужна эта информация,
порекомендуйте сайт тем своим знакомым, которые
возможно страдают от недугов и хотят избавиться от них.
Эта помощь ими будет оценена!
Оказалось, что я не могу пересылать желчь на большие расстояния, так как нужно соблюдать меры осторожности, не допускать разморозки желчи. Сублимировать желчь можно, однако есть и более простой к тому же сертифицированный способ использовать куриную желчь. (на некоторое время эта возможность остановлена по понятным всем причинам)
Результат одинаковый и выбор всегда за вами.
Внимание!
Если вам не нужна эта информация, порекомендуйте сайт тем своим знакомым, которые возможно страдают от недугов и хотят избавиться от них.
Эта помощь ими будет оценена!

Стоимость за полный курс
(30шт пузырей) :
5900 рублей
Предоплата:
700 рублей
Результат индивидуален и зависит от личных особенностей организма.
Нажмите для оплаты




Политика конфиденциальности
Политика конфиденциальности персональных данных
Настоящая Политика конфиденциальности персональных данных (далее – Политика конфиденциальности) действует в отношении всей информации, которую сайт холе.рф, (далее – холе.рф) расположенный на доменном имени холе.рф (а также его субдоменах), может получить о Пользователе во время использования сайта холе.рф (а также его субдоменов), его программ и его продуктов.
1. Определение терминов
1.1 В настоящей Политике конфиденциальности используются следующие термины:
1.1.1. «Администрация сайта» (далее – Администрация) – уполномоченные сотрудники на управление сайтом холе.рф, которые организуют и (или) осуществляют обработку персональных данных, а также определяет цели обработки персональных данных, состав персональных данных, подлежащих обработке, действия (операции), совершаемые с персональными данными.
1.1.2. «Персональные данные» - любая информация, относящаяся к прямо или косвенно определенному, или определяемому физическому лицу (субъекту персональных данных).
1.1.3. «Обработка персональных данных» - любое действие (операция) или совокупность действий (операций), совершаемых с использованием средств автоматизации или без использования таких средств с персональными данными, включая сбор, запись, систематизацию, накопление, хранение, уточнение (обновление, изменение), извлечение, использование, передачу (распространение, предоставление, доступ), обезличивание, блокирование, удаление, уничтожение персональных данных.
1.1.4. «Конфиденциальность персональных данных» - обязательное для соблюдения Оператором или иным получившим доступ к персональным данным лицом требование не допускать их распространения без согласия субъекта персональных данных или наличия иного законного основания.
1.1.5. «Сайт холе.рф» - это совокупность связанных между собой веб-страниц, размещенных в сети Интернет по уникальному адресу (URL): холе.рф, а также его субдоменах.
1.1.6. «Субдомены» - это страницы или совокупность страниц, расположенные на доменах третьего уровня, принадлежащие сайту холе.рф, а также другие временные страницы, внизу который указана контактная информация Администрации
1.1.5. «Пользователь сайта холе.рф » (далее Пользователь) – лицо, имеющее доступ к сайту холе.рф, посредством сети Интернет и использующее информацию, материалы и продукты сайта холе.рф.
1.1.7. «Cookies» — небольшой фрагмент данных, отправленный веб-сервером и хранимый на компьютере пользователя, который веб-клиент или веб-браузер каждый раз пересылает веб-серверу в HTTP-запросе при попытке открыть страницу соответствующего сайта.
1.1.8. «IP-адрес» — уникальный сетевой адрес узла в компьютерной сети, через который Пользователь получает доступ на холе.рф.
2. Общие положения
2.1. Использование сайта холе.рф Пользователем означает согласие с настоящей Политикой конфиденциальности и условиями обработки персональных данных Пользователя.
2.2. В случае несогласия с условиями Политики конфиденциальности Пользователь должен прекратить использование сайта холе.рф .
2.3. Настоящая Политика конфиденциальности применяется к сайту холе.рф не контролирует и не несет ответственность за сайты третьих лиц, на которые Пользователь может перейти по ссылкам, доступным на сайте холе.рф.
2.4. Администрация не проверяет достоверность персональных данных, предоставляемых Пользователем.
3. Предмет политики конфиденциальности
3.1. Настоящая Политика конфиденциальности устанавливает обязательства Администрации по неразглашению и обеспечению режима защиты конфиденциальности персональных данных, которые Пользователь предоставляет по запросу Администрации при регистрации на сайте холе.рф или при подписке на информационную e-mail рассылку.
3.2. Персональные данные, разрешённые к обработке в рамках настоящей Политики конфиденциальности, предоставляются Пользователем путём заполнения форм на сайте холе.рф и включают в себя следующую информацию:
3.2.1. фамилию, имя, отчество Пользователя;
3.2.2. контактный телефон Пользователя;
3.2.3. адрес электронной почты (e-mail)
3.2.4. место жительство Пользователя (при необходимости)
3.2.5. фотографию (при необходимости)
3.3. холе.рф защищает Данные, которые автоматически передаются при посещении страниц:
- IP адрес;
- информация из cookies;
- информация о браузере
- время доступа;
- реферер (адрес предыдущей страницы).
3.3.1. Отключение cookies может повлечь невозможность доступа к частям сайта , требующим авторизации.
3.3.2. холе.рф осуществляет сбор статистики об IP-адресах своих посетителей. Данная информация используется с целью предотвращения, выявления и решения технических проблем.
3.4. Любая иная персональная информация неоговоренная выше (история посещения, используемые браузеры, операционные системы и т.д.) подлежит надежному хранению и нераспространению, за исключением случаев, предусмотренных в п.п. 5.2. настоящей Политики конфиденциальности.
4. Цели сбора персональной информации пользователя
4.1. Персональные данные Пользователя Администрация может использовать в целях:
4.1.1. Идентификации Пользователя, зарегистрированного на сайте холе.рф для его дальнейшей авторизации.
4.1.2. Предоставления Пользователю доступа к персонализированным данным сайта холе.рф.
4.1.3. Установления с Пользователем обратной связи, включая направление уведомлений, запросов, касающихся использования сайта холе.рф, обработки запросов и заявок от Пользователя.
4.1.4. Определения места нахождения Пользователя для обеспечения безопасности, предотвращения мошенничества.
4.1.5. Подтверждения достоверности и полноты персональных данных, предоставленных Пользователем.
4.1.6. Создания учетной записи для использования частей сайта холе.рф, если Пользователь дал согласие на создание учетной записи.
4.1.7. Уведомления Пользователя по электронной почте.
4.1.8. Предоставления Пользователю эффективной технической поддержки при возникновении проблем, связанных с использованием сайта холе.рф.
4.1.9. Предоставления Пользователю с его согласия специальных предложений, новостной рассылки и иных сведений от имени сайта холе.рф.
5. Способы и сроки обработки персональной информации
5.1. Обработка персональных данных Пользователя осуществляется без ограничения срока, любым законным способом, в том числе в информационных системах персональных данных с использованием средств автоматизации или без использования таких средств.
5.2. Персональные данные Пользователя могут быть переданы уполномоченным органам государственной власти Российской Федерации только по основаниям и в порядке, установленным законодательством Российской Федерации.
5.3. При утрате или разглашении персональных данных Администрация вправе не информировать Пользователя об утрате или разглашении персональных данных.
5.4. Администрация принимает необходимые организационные и технические меры для защиты персональной информации Пользователя от неправомерного или случайного доступа, уничтожения, изменения, блокирования, копирования, распространения, а также от иных неправомерных действий третьих лиц.
5.5. Администрация совместно с Пользователем принимает все необходимые меры по предотвращению убытков или иных отрицательных последствий, вызванных утратой или разглашением персональных данных Пользователя.
6. Права и обязанности сторон
6.1. Пользователь вправе:
6.1.1. Принимать свободное решение о предоставлении своих персональных данных, необходимых для использования сайта холе.рф, и давать согласие на их обработку.
6.1.2. Обновить, дополнить предоставленную информацию о персональных данных в случае изменения данной информации.
6.1.3. Пользователь имеет право на получение у Администрации информации, касающейся обработки его персональных данных, если такое право не ограничено в соответствии с федеральными законами. Пользователь вправе требовать от Администрации уточнения его персональных данных, их блокирования или уничтожения в случае, если персональные данные являются неполными, устаревшими, неточными, незаконно полученными или не являются необходимыми для заявленной цели обработки, а также принимать предусмотренные законом меры по защите своих прав. Для этого достаточно уведомить Администрацию по указаному E-mail адресу.
6.2. Администрация обязана:
6.2.1. Использовать полученную информацию исключительно для целей, указанных в п. 4 настоящей Политики конфиденциальности.
6.2.2. Обеспечить хранение конфиденциальной информации в тайне, не разглашать без предварительного письменного разрешения Пользователя, а также не осуществлять продажу, обмен, опубликование, либо разглашение иными возможными способами переданных персональных данных Пользователя, за исключением п.п. 5.2. настоящей Политики Конфиденциальности.
6.2.3. Принимать меры предосторожности для защиты конфиденциальности персональных данных Пользователя согласно порядку, обычно используемого для защиты такого рода информации в существующем деловом обороте.
6.2.4. Осуществить блокирование персональных данных, относящихся к соответствующему Пользователю, с момента обращения или запроса Пользователя, или его законного представителя либо уполномоченного органа по защите прав субъектов персональных данных на период проверки, в случае выявления недостоверных персональных данных или неправомерных действий.
7. Ответственность сторон
7.1. Администрация, не исполнившая свои обязательства, несёт ответственность за убытки, понесённые Пользователем в связи с неправомерным использованием персональных данных, в соответствии с законодательством Российской Федерации, за исключением случаев, предусмотренных п.п. 5.2. и 7.2. настоящей Политики Конфиденциальности.
7.2. В случае утраты или разглашения Конфиденциальной информации Администрация не несёт ответственность, если данная конфиденциальная информация:
7.2.1. Стала публичным достоянием до её утраты или разглашения.
7.2.2. Была получена от третьей стороны до момента её получения Администрацией Ресурса.
7.2.3. Была разглашена с согласия Пользователя.
7.3. Пользователь несет полную ответственность за соблюдение требований законодательства РФ, в том числе законов о рекламе, о защите авторских и смежных прав, об охране товарных знаков и знаков обслуживания, но не ограничиваясь перечисленным, включая полную ответственность за содержание и форму материалов.
7.4. Пользователь признает, что ответственность за любую информацию (в том числе, но не ограничиваясь: файлы с данными, тексты и т. д.), к которой он может иметь доступ как к части сайта холе.рф, несет лицо, предоставившее такую информацию.
7.5. Пользователь соглашается, что информация, предоставленная ему как часть сайта холе.рф, может являться объектом интеллектуальной собственности, права на который защищены и принадлежат другим Пользователям, партнерам или рекламодателям, которые размещают такую информацию на сайте холе.рф.
Пользователь не вправе вносить изменения, передавать в аренду, передавать на условиях займа, продавать, распространять или создавать производные работы на основе такого Содержания (полностью или в части), за исключением случаев, когда такие действия были письменно прямо разрешены собственниками такого Содержания в соответствии с условиями отдельного соглашения.
7.6. В отношение текстовых материалов (статей, публикаций, находящихся в свободном публичном доступе на сайте холе.рф) допускается их распространение при условии, что будет дана ссылка на холе.рф.
7.7. Администрация не несет ответственности перед Пользователем за любой убыток или ущерб, понесенный Пользователем в результате удаления, сбоя или невозможности сохранения какого-либо Содержания и иных коммуникационных данных, содержащихся на сайте холе.рф или передаваемых через него.
7.8. Администрация не несет ответственности за любые прямые или косвенные убытки, произошедшие из-за: использования либо невозможности использования сайта, либо отдельных сервисов; несанкционированного доступа к коммуникациям Пользователя; заявления или поведение любого третьего лица на сайте.
7.9. Администрация не несет ответственность за какую-либо информацию, размещенную пользователем на сайте холе.рф, включая, но не ограничиваясь: информацию, защищенную авторским правом, без прямого согласия владельца авторского права.
8. Разрешение споров
8.1. До обращения в суд с иском по спорам, возникающим из отношений между Пользователем и Администрацией, обязательным является предъявление претензии (письменного предложения или предложения в электронном виде о добровольном урегулировании спора).
8.2. Получатель претензии в течение 30 календарных дней со дня получения претензии, письменно или в электронном виде уведомляет заявителя претензии о результатах рассмотрения претензии.
8.3. При не достижении соглашения спор будет передан на рассмотрение Арбитражного суда г. Москва.
8.4. К настоящей Политике конфиденциальности и отношениям между Пользователем и Администрацией применяется действующее законодательство Российской Федерации.
9. Дополнительные условия
9.1. Администрация вправе вносить изменения в настоящую Политику конфиденциальности без согласия Пользователя.
9.2. Новая Политика конфиденциальности вступает в силу с момента ее размещения на сайте холе.рф, если иное не предусмотрено новой редакцией Политики конфиденциальности.
9.3. Все предложения или вопросы касательно настоящей Политики конфиденциальности следует сообщать по адресу: dima.hola@yandex.ru
9.4. Действующая Политика конфиденциальности размещена на странице по адресу http://холе.рф/politika.html
Обновлено: 15 Июля 2019 года
г. Москва, Администрация сайта
Данный сайт использует Cookie
Редактируемый текст